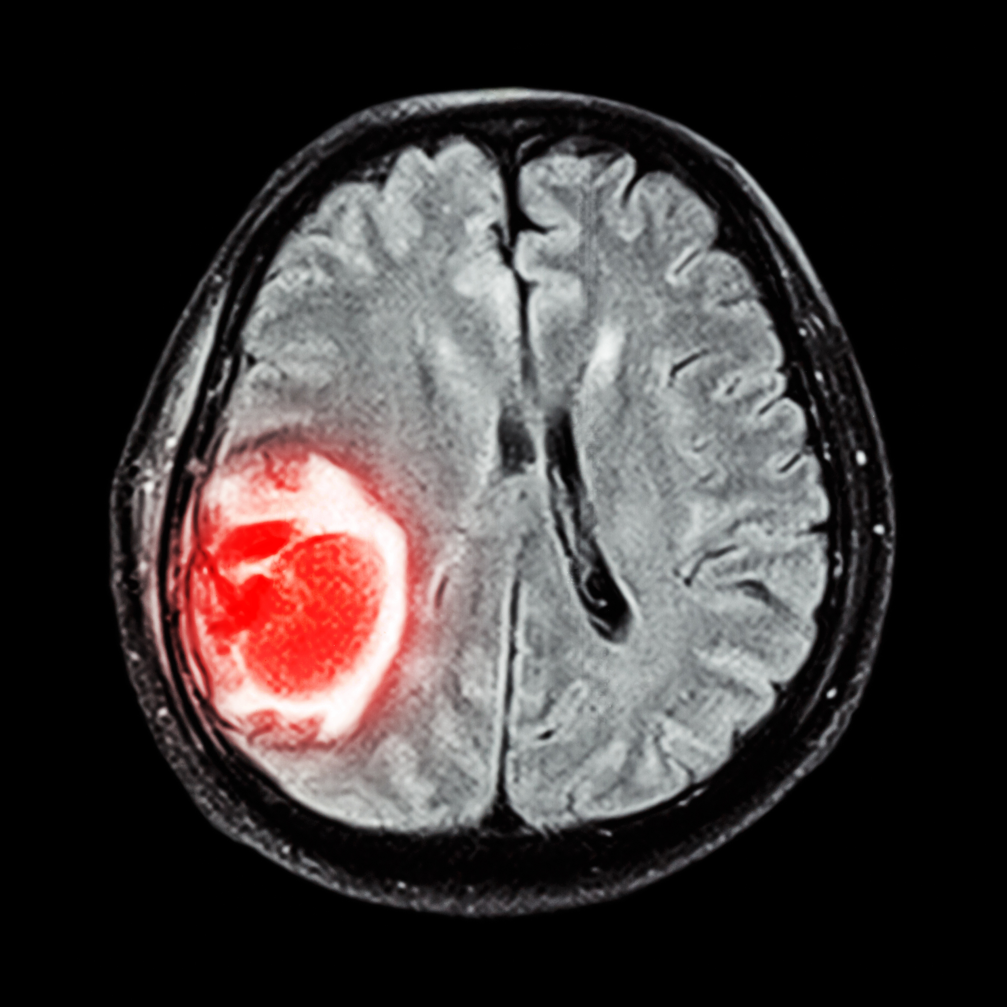
Previous Image Next Image MRI brain : show brain tumor at right parietal lobe of cerebrum MRI brain : show brain tumor at right parietal lobe of cerebrum Share this: Share on X (Opens in new window) X Share on Facebook (Opens in new window) Facebook Like Loading...